
നെഗറ്റീവ് ആയി.. പക്ഷേ, ശരിക്കും പിടിവിട്ടോ കോവിഡ്; ശ്വാസകോശത്തെ ബാധിക്കുന്ന ലക്ഷണങ്ങൾ ശ്രദ്ധിക്കാം
|ശ്വാസകോശ സംബന്ധമായ മറ്റ് അണുബാധകളെപ്പോലെ തന്നെ കോവിഡ് ഹ്രസ്വകാല ശ്വാസകോശ നാശത്തിലേക്ക് നയിച്ചേക്കാം
രാജ്യത്ത് കോവിഡ് കേസുകൾ പ്രതിദിനം വർധിച്ചുവരികയാണ്. ഒരിടവേളക്ക് ശേഷം വീണ്ടും പിടിമുറുക്കുകയാണ് കോവിഡ്. ഇന്ന് മാത്രം 10,542 പുതിയ കോവിഡ് കേസുകളാണ് രാജ്യത്ത് റിപ്പോര്ട്ട് ചെയ്തിരിക്കുന്നത്. 63,562 പേർ ചികിത്സയിൽ തുടരുന്നുവെന്നും റിപ്പോർട്ടുകളുണ്ട്. വൈറസ് പടർന്നുപിടിക്കുന്നുണ്ടെങ്കിലും ഇപ്പോൾ കർശനമായി മാസ്ക് ധരിക്കണമെന്നും പൊതുസ്ഥലങ്ങളിൽ ഒത്തുകൂടരുതെന്നുമുള്ള നിർദേശങ്ങൾ പലർക്കും കേട്ട മട്ടില്ല. കോവിഡെന്ന് കേട്ടാലുള്ള പഴയ ഭീതി ആളുകളിലില്ല എന്നതാണ് വാസ്തവം. എന്നാൽ, ഇപ്പോഴും ആശങ്ക വിട്ടുമാറാത്ത ചിലരുണ്ട്. കോവിഡ് ബാധിച്ച ശേഷം രോഗമുക്തരായവരാണ് ഇക്കൂട്ടർ. ഈ മാരകവൈറസ് വരുത്തിവെക്കുന്ന ശാരീരിക ബുദ്ധിമുട്ടുകൾ എന്തെന്ന് ഇവർക്ക് നന്നായിട്ടറിയാം.
കോവിഡ് ബാധിക്കുമ്പോഴല്ല രോഗമുക്തി നേടിക്കഴിഞ്ഞാണ് കൂടുതൽ ശ്രദ്ധിക്കേണ്ടത്. രോഗപ്രതിരോധ ശേഷി പാടെ തകർത്തുകൊണ്ടാകും കൊറോണ കടന്നുപോവുക. കോവിഡിന്റെ ലക്ഷണങ്ങളിൽ നിന്ന് ഇപ്പോഴും മോചിതരായിട്ടില്ലാത്തവരും ചുരുക്കമാണ്. കോവിഡ് നെഗറ്റീവ് ആയെങ്കിലും ലക്ഷണങ്ങൾ വിട്ടുമാറാത്തതിനർത്ഥം കോവിഡ് പൂർണമായി ഭേദമായിട്ടില്ല എന്ന് തന്നെയാണ്. ശ്വാസകോശമാണ് ഇതിന്റെയെല്ലാം ഫലം അനുഭവിക്കുന്നത്. അതിനാൽ, കോവിഡ് പൂർണമായും വിട്ടുമാറിയോ ഇല്ലയോ എന്ന കാര്യം ശ്വാസകോശത്തിൽ നിന്ന് തന്നെ മനസിലാക്കാം.

ശ്വാസംമുട്ടൽ
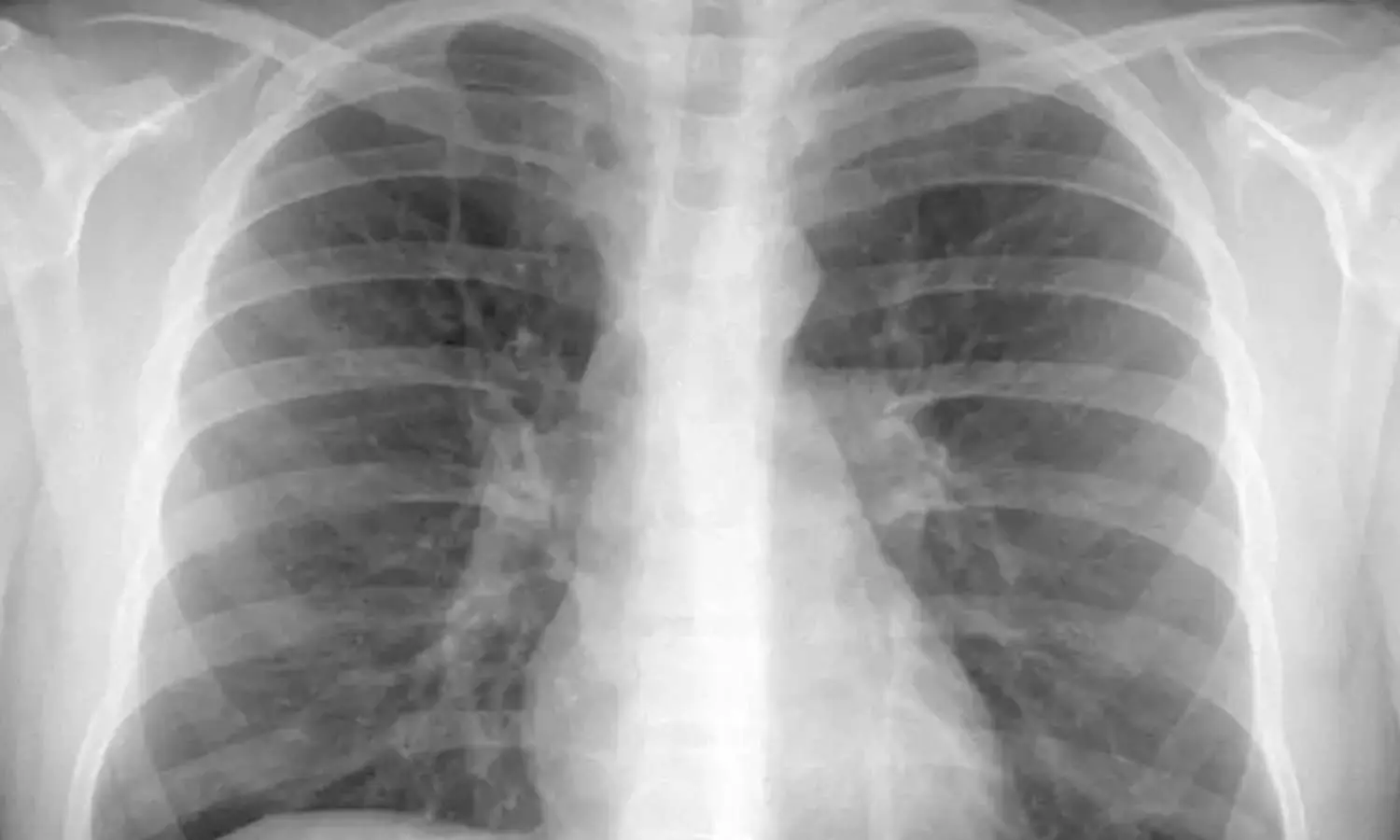
കോവിഡിന്റെ പ്രധാനലക്ഷണങ്ങളിൽ ഒന്നാണ് ശ്വാസതടസം. കോവിഡിനെ അതിജീവിച്ചവരിൽ ശ്വാസംമുട്ടൽ വിട്ടുമാറാത്തത് ഇപ്പോഴും വൈറസിന്റെ ലക്ഷണങ്ങൾ ഉള്ളിലുള്ളത് കൊണ്ടുതന്നെയാണ്. ഏറെ നാൾ കഴിഞ്ഞിട്ടും ശ്വാസതടസം മാറുന്നില്ലെങ്കിൽ സമഗ്രമായ ഹൃദയ, ശ്വാസകോശ പരിശോധനകൾ നടത്തണം. പൾമണറി ഫംഗ്ഷൻ ടെസ്റ്റുകൾ, എക്കോകാർഡിയോഗ്രാം, ചെസ്റ്റ് എക്സ്റേ, അല്ലെങ്കിൽ സ്റ്റാൻഡേർഡ് ആക്റ്റിവിറ്റി ടെസ്റ്റുകൾ എന്നിവയാണ് ഇതിന് സഹായിക്കുക.

ശ്വാസകോശത്തിൽ അടിഞ്ഞുകൂടിയ ദ്രാവകം
കോവിഡ് രോഗികൾക്ക് അവരുടെ ശ്വാസകോശത്തിൽ അമിതമായ ദ്രാവകം ഉണ്ടാകാറുണ്ട്. ഇത് ശ്വസനത്തെ തടസപ്പെടുത്തും. രോഗത്തിന്റെ പ്രാരംഭ ഘട്ടത്തിൽ രോഗികളുടെ ശ്വാസകോശത്തിലേക്ക് ഒഴുകുന്ന പ്രോട്ടീൻ ദ്രാവകമാണിത്. ഇത് കുറച്ചുനാൾ നിലനിൽക്കും.

വിട്ടുമാറാത്ത മൂക്കൊലിപ്പ്
മൂക്കൊലിപ്പാണ് മറ്റൊരു ലക്ഷണം. ശ്വസനം മെച്ചപ്പെടുത്തുന്ന വ്യായാമങ്ങൾ ഇതിനൊരു പരിഹാരമാണ്. ശ്വാസകോശങ്ങളിൽ നിന്ന് മ്യൂക്കസും മറ്റ് ദ്രാവകങ്ങളും നീക്കം ചെയ്യുന്നതിലൂടെ ഓക്സിജന്റെ അളവ് വർധിപ്പിക്കാൻ സഹായിക്കും.
ഇത്തരം ലക്ഷണങ്ങൾ ദീർഘനാൾ നീണ്ടുനിൽക്കുന്നുവെങ്കിൽ നിസാരമായി കാണരുത്. ശ്വാസകോശ സംബന്ധമായ അണുബാധകളെപ്പോലെ തന്നെ കോവിഡ് ഹ്രസ്വകാല ശ്വാസകോശ നാശത്തിലേക്ക് നയിച്ചേക്കാം. ലക്ഷണങ്ങൾ രൂക്ഷമാകുമ്പോൾ ഭേദമാകാൻ വളരെ സമയമെടുത്തേക്കും. രോഗം ബാധിച്ച് ഒരു വർഷത്തിന് ശേഷം, മൂന്നിലൊന്ന് കോവിഡ് രോഗികളിൽ ഈ ലക്ഷണങ്ങൾ വിട്ടുമാറാത്തതായി കണ്ടെത്തിയിട്ടുണ്ടെന്നാണ് ഗവേഷണങ്ങളിൽ വ്യക്തമാക്കുന്നത്.
