
കോവിഡിനു ശേഷം തലച്ചോറിന്റെ വലിപ്പം കുറയുന്നു; ഓകസ്ഫോർഡ് സർവകലാശാല നടത്തിയ പഠനം
|സാധാരണയായി പത്ത് വർഷത്തിനിടെ തലച്ചോറിലുണ്ടാകുന്ന മാറ്റങ്ങളാണ് കോവിഡ് ബാധയെത്തുടർന്ന് ഏതാനും മാസങ്ങൾ കൊണ്ട് ഉണ്ടാകുന്നത്
കോവിഡ് ബാധിച്ച് സുഖം പ്രാപിച്ചവരുടെ തലച്ചോറിന്റെ വലുപ്പത്തിലും ശേഷിയിലും കുറവുണ്ടാവുന്നതായി പഠനം. കോവിഡ് ബാധിച്ചവരിൽ മാസങ്ങൾക്ക് ശേഷം നടത്തിയ പഠനത്തിലാണ് പുതിയ കണ്ടെത്തൽ. കോവിഡ് സമയത്ത് കാര്യമായ ആരോഗ്യ പ്രശ്നങ്ങൾ ഇല്ലാത്തവരിലും ഇത്തരം പ്രശ്നങ്ങൾ ഉണ്ടാവുന്നതായി നേച്ചർ ജേണലിൽ പറയുന്നു. ഓകസ്ഫോർഡ് സർവകലാശാലയിലെ വെൽക്കം സെന്റർ ഫോർ ഇന്റഗ്രേറഅറീവ് ന്യൂറോഇമേജിങ് ആണ് ഇതുമായി ബന്ധപ്പെട്ട പഠനം നടത്തിയത്.
സാധാരണയായി പത്ത് വർഷത്തിനിടെ തലച്ചോറിലുണ്ടാകുന്ന മാറ്റങ്ങളാണ് കോവിഡ് ബാധയെത്തുടർന്ന് ഏതാനും മാസങ്ങൾ കൊണ്ട് ഉണ്ടായതെന്നാണ് കണ്ടെത്തൽ. മണം തിരിച്ചറിയാൻ സഹായിക്കുന്ന ഭാഗങ്ങളിലും തലച്ചോറിന്റെ മൊത്തത്തിലുള്ള വലിപ്പത്തിലും വ്യത്യാസങ്ങൾ ഉള്ളതായി കണ്ടെത്തിയിട്ടുണ്ട്. ഈ മാറ്റങ്ങൾ തലച്ചോറിന്റെ ബുദ്ധിശേഷിയിലും മാറ്റങ്ങളുണ്ടാക്കുന്നുണ്ട്.

'ഇത് കൃത്യമായ ഡാറ്റകളുള്ള വളരെ നൂതനമായ ഒരു പഠനമാണ്, ജനസംഖ്യയിൽ വലിയ പ്രത്യാഘാതങ്ങൾ ഉണ്ടാകാൻ സാധ്യതയുണ്ട്'. യുഎസ് നാഷണൽ ഇൻസ്റ്റിറ്റ്യൂട്ട് ഓഫ് ന്യൂറോളജിക്കൽ ഡിസോർഡേഴ്സ് ആൻഡ് സ്ട്രോക്കിന്റെ ക്ലിനിക്കൽ ഡയറക്ടർ അവീന്ദ്ര നാഥ് പറഞ്ഞു.
ആഗോളതലത്തിൽ മറവിരോഗം സൃഷ്ടിക്കുന്ന ആഘാതം കൊവിഡ് മൂലം വർധിക്കുമോ എന്നതായിരുന്നു പഠനത്തിന്റെ വിഷയം. കൊറോണ വൈറസ് ശ്വസനവ്യവസ്ഥയെയാണ് പ്രധാനമായും ബാധിക്കുന്നതെന്നായിരുന്നു ഇതുവരെ കരുതിയിരുന്നത്. എന്നാൽ വൈറസ് നാഡീവ്യവസ്ഥയെ മൊത്തത്തിൽ ബാധിക്കുന്നുണ്ടെന്നതിന്റെ വലിയ തെളിവുകൾ ലഭിച്ചെന്നാണ് പഠനത്തിൽ പറയുന്നത്.
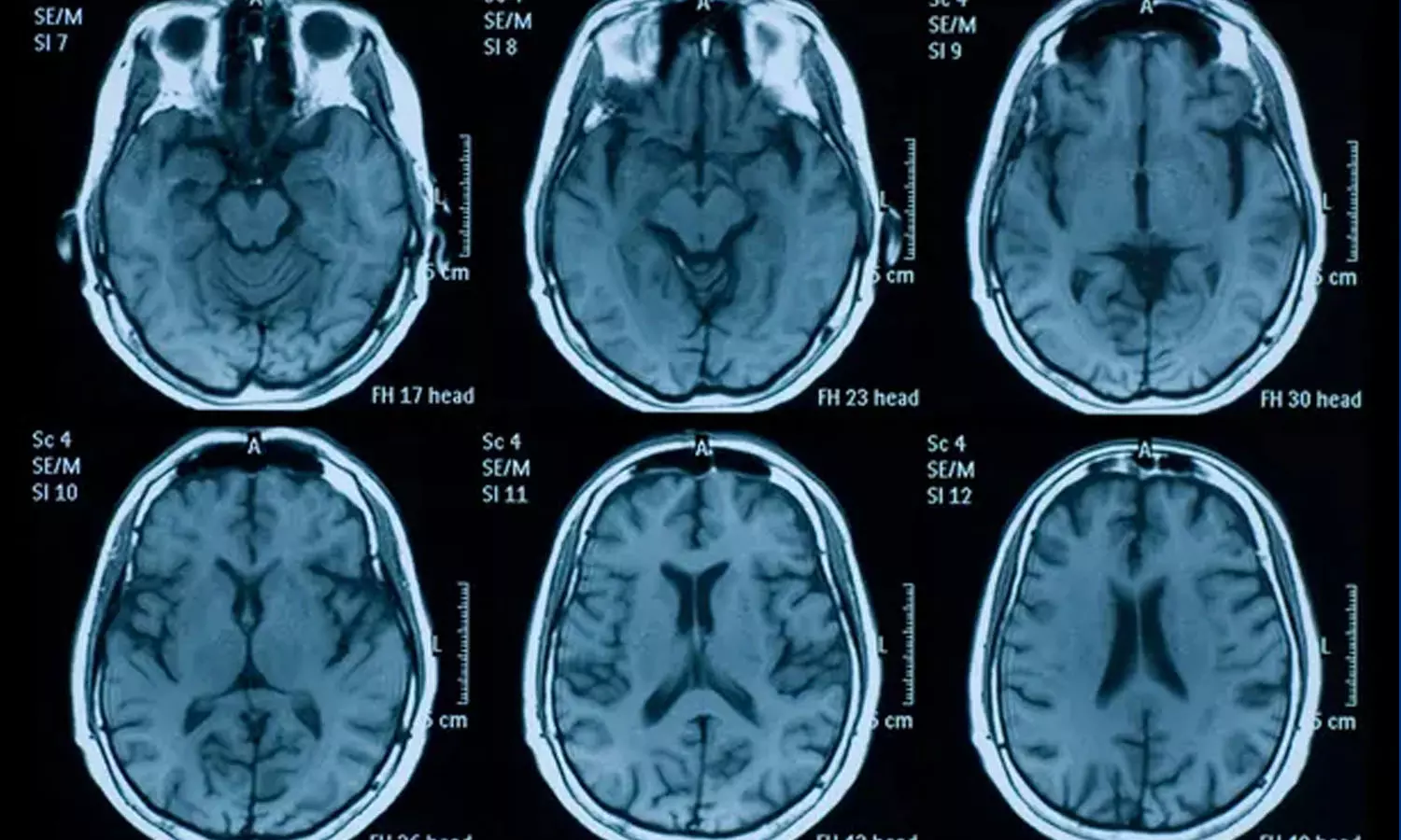
പഠനത്തിന്റെ ഭാഗമായി ന്യൂറോ സയന്റിസ്റ്റായ ഗ്വെനെല്ലെ ഡൗഡും സഹപ്രവർത്തകരും കോവിഡിനു മുൻപ് ശേഖരിച്ച 785 പേരുടെ തലച്ചോറുകൾ എംആർഐ സ്കാനിങ് ഉപയോഗിച്ച് പരിശോധിച്ചു. 38 മാസങ്ങൾക്കു ശേഷം ഇതിൽ 401 പേർക്ക് കൊവിഡ് ബാധിച്ചിരുന്നു. തുടർന്ന് ആദ്യ സർവേയിൽ പങ്കെടുത്ത മുഴുവൻ പേരെയും വീണ്ടും എംആർഐ സ്കാനിങിനു വിധേയമാക്കി.
STUDY: Oxford researchers assessed changes to the brain on average 4.5 months after mild #COVID19 infection.
— University of Oxford (@UniofOxford) March 8, 2022
Their findings show:
- shrinkage in brain areas related to smell
- tissue damage
- decline in mental ability to perform complex tasks
Read more ⬇️
51 വയസ് മുതൽ 81 വയസ് വരെ പ്രായമുള്ളവരെയാണ് പഠനത്തിന് വിധേയരാക്കിയത്. ഇവരിൽ ഡയബറ്റിസ്, രക്തസമ്മർദ്ദം തുടങ്ങി നിരവധി ആരോഗ്യപ്രശ്നങ്ങൾ ഉള്ളവരും ഉണ്ടായിരുന്നു. തുടർന്ന് നടത്തിയ പഠനത്തിലാണ് മാറ്റങ്ങൾ കണ്ടെത്തിയത്. കോവിഡ് ബാധയെത്തുടർന്ന് തലച്ചോറിന് രണ്ട് ശതമാനം വലുപ്പം കുറഞ്ഞതായാണ് കണ്ടെത്തൽ.
തലച്ചോറിലെ ഗ്രേ മാറ്ററിൽ സാധാരണ വാർധക്യത്തിന്റെ ഭാഗമായി 0.2 ശതമാനം മാത്രമാണ് മാറ്റമുണ്ടാകുക. രണ്ടാമത്തെ സ്കാനിന് ശരാശരി 4.5 മാസം മുമ്പ് രോഗം ബാധിച്ചവരിൽ, ഓർബിറ്റോഫ്രോണ്ടൽ കോർട്ടെക്സ്, പാരാഹിപ്പോകാമ്പൽ ഗൈറസ് എന്നറിയപ്പെടുന്ന ഗന്ധവുമായി ബന്ധപ്പെട്ട തലച്ചോറിന്റെ ഭാഗങ്ങളിൽ ചാരനിറത്തിലുള്ള ദ്രവ്യത്തിന്റെ കനം ഗണ്യമായി കുറയുന്നതായി ഗവേഷകർ കണ്ടെത്തി.
SARS-CoV-2 അണുബാധയുള്ളവർക്ക് പോലും തലച്ചോറിൽ ചില മാറ്റങ്ങൾ ഉണ്ടാവാമെന്ന് ഗവേഷകർ പറയുന്നു. എന്നാൽ തലച്ചോറിന്റെ വലുപ്പത്തിലുണ്ടായത് ചെറിയ മാറ്റങ്ങൾ മാത്രമാണെന്നും ഇത് നഗ്നനേത്രങ്ങൾ കൊണ്ട് തിരിച്ചറിയാൻ കഴിയില്ലെന്നും ഗവേഷകർ വ്യക്തമാക്കി.