കൃത്രിമ പല്ല് വയ്ക്കാന് പോവാണോ? എങ്കില് ഇതൊക്കെ അറിഞ്ഞോളൂ..
ഒരു പല്ല് ഉറപ്പിച്ചു വെക്കണമെങ്കില് തൊട്ടടുത്തുള്ള ഉറപ്പുള്ള ഏതെങ്കിലും ഒരു ഭാഗത്ത് നിന്നും സപ്പോര്ട്ട് എടുക്കേണ്ടതായുണ്ട്.

ഡെന്റല് ഇംപ്ലാന്റ് - ഒരു ആമുഖം
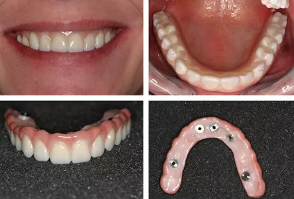
കൃത്രിമ ദന്ത വിഭാഗത്തിലെ ഏറ്റവും നൂതന ചികിത്സാ രീതിയായ ഡെന്റല് ഇംപ്ലാന്റുകളെക്കുറിച്ചുള്ള ചില പ്രാഥമിക വിവരങ്ങളാണ് ഈ കുറിപ്പില്. കൃത്രിമ പല്ലുകളെ രണ്ടായി തിരിക്കാം. ഉറപ്പിച്ചു വെക്കുന്ന തരത്തിലുള്ള പല്ലുകളും രോഗികൾക്ക് തന്നെ ഊരി എടുക്കാവുന്ന തരം പല്ല് സെറ്റ്കളും.
ഇതില് ഊരി മാറ്റുന്ന സെറ്റുകള് എല്ലാ ദിവസവും വായില് നിന്ന് പുറത്തെടുത്തു ബ്രഷ് ചെയ്തു വൃത്തിയാക്കി വീണ്ടും ഉപയോഗിക്കുന്ന തരമാണ്. ചെലവ് കുറവാണെങ്കിലും ഉറപ്പിച്ചു വെക്കാത്തതിനാല് താരതമ്യേന സൌകര്യപ്രദമല്ല. ഉറപ്പിച്ചു വെക്കുന്ന പല്ല് സെറ്റുകള് സാധാരണയായി രോഗിക്ക് സ്വയം ഊരിയെടുക്കാന് പറ്റാത്ത, അഥവാ ഊരി മാറ്റേണ്ട ആവശ്യം ഇല്ലാത്ത തരത്തിലാണ്. ഒരിക്കല് വായില് പിടിപ്പിച്ചു കഴിഞ്ഞാല് ചവക്കുമ്പോഴും പല്ല് തേക്കുമ്പോഴും എല്ലാം ഏറെക്കുറെ സാധാരണ പല്ല് പോലെ തന്നെ ആയിരിക്കും അനുഭവപ്പെടുക. ഒരു പല്ല് ഉറപ്പിച്ചു വെക്കണമെങ്കില് തൊട്ടടുത്തുള്ള ഉറപ്പുള്ള ഏതെങ്കിലും ഒരു ഭാഗത്ത് നിന്നും സപ്പോര്ട്ട് എടുക്കേണ്ടതായുണ്ട്. അത്തരത്തില് കൃത്രിമ പല്ലിനെ സപ്പോര്ട്ട് ചെയ്യാന് തക്ക ഉറപ്പുള്ള രണ്ടു ഭാഗങ്ങളാണ് അടുത്തുള്ളത്.
ഒന്ന്, നഷ്ടപ്പെട്ട പല്ലിന്റെ സ്ഥാനത്തിനു ഇരു വശത്തുമായി നിൽക്കുന്ന സ്വാഭാവികമായ പല്ലുകള്. മറ്റൊന്ന്, ആ ഭാഗത്തുള്ള താടിയെല്ല്. ഇങ്ങനെ തൊട്ടടുത്ത പല്ലുകളുടെ സപ്പോര്ട്ട് ഉപയോഗിച്ച് കൃത്രിമ പല്ല് വെക്കുന്ന രീതിയെയാണ് സാധാരണ ബ്രിഡ്ജിങ് എന്ന് പറയുന്നത്. താടിയെല്ലില് നിന്നും സപ്പോര്ട്ട് എടുത്ത് പല്ലു വയ്ക്കുന്ന രീതിയാണ് ഡെന്റല് ഇംപ്ലാന്റുകള്. ഈ രണ്ടു ചികിത്സകളും കൃത്യമായ രീതിയില് ചെയ്താല് താരതമ്യേന വളരെ ഉയര്ന്ന വിജയ ശതമാനം ഉള്ളവയാണ്. തുടക്കത്തില് പറഞ്ഞ മൂന്നു രീതികളില് ഏതു തിരഞ്ഞെടുക്കണമെന്നത് ഓരോ വ്യക്തിയുടെയും വെക്കേണ്ട പല്ലുകളുടെ എണ്ണം, അവിടുത്തെ താടിയെല്ലിന്റെയും ചുറ്റുമുള്ള ഭാഗങ്ങളുടെയും ഘടന, പൊതുവായ ആരോഗ്യസ്ഥിതി എന്നിങ്ങനെ ഒരു ചികിത്സകന് മാത്രം കൃത്യമായി വിലയിരുത്താനാവുന്ന ഒരുപാടു ഘടകങ്ങളെ ആശ്രയിച്ചാണിരിക്കുന്നത്. എല്ലാവര്ക്കും ഒരേ പോലെ മികച്ചതായ ഒരു ചികിത്സാരീതിയില്ലെങ്കിലും പൊതുവേ മറ്റു രണ്ടു ചികിത്സകളേക്കാള് ഇംപ്ലാന്റിന് ഗുണങ്ങളേറെയുണ്ടെന്നു തന്നെ പറയാം.
ഇംപ്ലാന്റ് ചികിത്സക്ക് പല ഘട്ടങ്ങളുണ്ട്. ആദ്യമായി treatment planning ന്റെ ഭാഗമായുള്ള പരിശോധനകള് ആണ്. ഇംപ്ലാന്റ് താടിയെല്ലിന്റെ ഉള്ളില് സ്ഥാപിക്കുന്നത് ഒരു ചെറിയ ശസ്ത്രക്രിയ വഴിയാണ്. അതുകൊണ്ട് തന്നെ ഇംപ്ലാന്റ് ചെയുന്നതിന് മുന്പായി പൊതു ആരോഗ്യസ്ഥിതി മനസ്സിലാക്കാന് വേണ്ട പരിശോധനകള് വേണ്ടി വരും. രക്തസമ്മര്ദം, പ്രമേഹം തുടങ്ങിയവ നിയന്ത്രണ വിധേയമായിരിക്കണം. ഹൃദയം, വൃക്ക, കരള് തുടങ്ങിയ മറ്റു സുപ്രധാന അവയവങ്ങളുടെ തകരാറുകള്ക്ക് ചികിത്സയില് ഇരിക്കുന്ന രോഗികളില് കൂടുതല് പരിശോധനകളും ചിലപ്പോള് അതാത് വിദഗ്ധരുടെ ഉപദേശവും തേടേണ്ടതുണ്ട്.
സര്ജറി എന്ന വാക്ക് തന്നെ പലര്ക്കും പേടിയാണ്. ഇതിനെ ആവശ്യത്തില് കൂടുതല് നിസ്സാരവല്ക്കരിക്കാനോ മഹത്വവല്ക്കരിക്കാനോ ഉദ്ദേശിക്കുന്നില്ല. ഏതാണ്ട് പല്ല് പറിക്കുന്നതിന് സമാനമായ റിസ്കുകള് ഉള്ള ഒരു ലഘു ശസ്ത്രക്രിയ (മൈനര് സര്ജറി) ആണിത്. രോഗിയെ പൂര്ണമായി മയക്കേണ്ട ആവശ്യം സാധാരണ ഉണ്ടാവാറില്ല. മിക്കപ്പോഴും ഇംപ്ലാന്റ് വെക്കുന്ന ഭാഗം മാത്രം മരവിപ്പിച്ചാല് മതിയാവും.
പൊതു ആരോഗ്യസ്ഥിതി വിലയിരുത്തിക്കഴിഞ്ഞാല് അടുത്തതായി വേണ്ടത് ഇംപ്ലാന്റ് സ്ഥാപിക്കേണ്ട ഭാഗത്തുള്ള താടിയെല്ലിന്റെ പരിശോധനയാണ്. എല്ലിന്റെ അളവും ഘടനാപരമായ സവിശേഷതകളും മനസ്സിലാക്കാന് X-ray നോക്കേണ്ടതുണ്ട്. ചില സാഹചര്യങ്ങളില് താടിയെല്ലിലെ ഞരമ്പുകളുടെയും രക്തക്കുഴലുകളുടെയും മറ്റു സുപ്രധാന ഭാഗങ്ങളുടെയും സ്ഥാനം കൃത്യമായി വിലയിരുത്തുന്നതിന് സ്കാനിംഗ് പരിശോധനയും വേണ്ടിവന്നേക്കാം. ഇത്തരം പരിശോധനകള് വഴി ഇംപ്ലാന്റ് വെക്കേണ്ട സ്ഥാനവും ഇംപ്ലാന്റിന്റെ വലിപ്പവും എല്ലാം നിര്ണയിച്ച ശേഷം സര്ജറി സമയത്ത് നമ്മള് മുന്കൂട്ടി നിശ്ചയിച്ച ദിശയില് തന്നെ ആണ് ഇംപ്ലാന്റ് വെക്കുന്നത് എന്നുറപ്പിക്കാന് സര്ജിക്കല് ടെമ്പ്ലേറ്റ് എന്ന് പറയുന്ന ഒരു അച്ച് അഥവാ വാര്പ്പ് മാതൃക കൂടി ചിലപ്പോള് ഉണ്ടാക്കാറുണ്ട്.
മേല്പറഞ്ഞ എല്ലാ തയ്യാറെടുപ്പുകള്ക്കും ശേഷമാണ് ചികിത്സ തുടങ്ങുന്നത്. ആദ്യ ഘട്ടത്തില് മുന്പ് സൂചിപ്പിച്ച പോലെയുള്ള ഒരു ചെറിയ ശസ്ത്രക്രിയ വഴി താടി എല്ലില് കൃത്യമായ സ്ഥാനത്തു ഇംപ്ലാന്റ് വെച്ച് പിടിപ്പിച്ച് തുന്നലിട്ട ശേഷം മുകളില് ഒരു ഡ്രെസിംഗ് കൂടി കൊടുക്കുന്നു. രോഗിക്ക് അന്ന് തന്നെ വീട്ടില് പോകാന് സാധിക്കും. ഏതാനും ദിവസത്തിന് ശേഷം തുന്നല് എടുക്കുകയും ആവശ്യമെങ്കില് ഒരു താത്കാലിക പല്ല് സെറ്റ് വെക്കുകയും ചെയ്യാം. അനുകൂല സാഹചര്യമാണെങ്കില് പല്ല് പറിക്കുന്ന സമയത്ത് തന്നെ ഇംപ്ലാന്റ് താടിയെല്ലിനുള്ളില് വെക്കാറുമുണ്ട്.
താടിയെല്ലിനുള്ളില് വെക്കുന്ന ഇംപ്ലാന്റ് ഏതാണ്ട് ഒരു സ്ക്രൂവിന്റെ ആകൃതി ആയിരിക്കും (മറ്റു തരത്തിലുള്ളതും ഉണ്ട്). ഇത് അസ്ഥി രോഗ വിഭാഗത്തില് നിന്നും ദന്തവിഭാഗത്തിലേക്ക് എത്തിയ ഒരു ചികിത്സാരീതിയാണ്. അപകടങ്ങളിലും മറ്റും എല്ലുകള്ക്ക് പൊട്ടല് സംഭവിച്ചാല് ശസ്ത്രക്രിയ നടത്തി റോഡുകളോ പ്ലേറ്റ്കളോ സ്ക്രൂകളോ ഒക്കെ ഉപയോഗിച്ച് അതു നേരെയാക്കുന്നതിനുള്ള ചികിത്സാ രീതികള് കേട്ട് പരിചയം ഉണ്ടാവും എന്ന് കരുതട്ടെ. ഇതിനു സമാനമായ രീതിയിലാണ് കൃത്രിമ ദന്തങ്ങള് ഉറപ്പിക്കുന്നതിനായി താടിയെല്ലിലേക്ക് ഇംപ്ലാന്റ് വെക്കുന്നതും.
ശുദ്ധീകരിച്ച ടൈറ്റാനിയം എന്ന ലോഹം ആണ് ഇംപ്ലാന്റ് നിര്മ്മിക്കാന് ഉപയോഗിക്കുന്നത്. ഇതു ശരീര കലകളോട് താരതമ്യേന സൌഹാര്ദ്ദപരമായ ഒന്നാണ് (biocompatible). ഇത് ശരീരകലകള്ക്കുള്ളില് വെച്ചാല് ശരീരം അതിനെ ഒരു അന്യ വസ്തു ആയി കണക്കാക്കുകയില്ലാത്തതു കൊണ്ടു തന്നെ തത്ഫലമായുണ്ടാകുന്ന ശരീരത്തിന്റെ പ്രതിപ്രവര്ത്തനങ്ങളും കുറവായിരിക്കും. ഇംപ്ലാന്റ് താടിയെല്ലിനുള്ളില് വെച്ച് കഴിഞ്ഞാല് സാധാരണ പോലെ തന്നെ മുറിവുണങ്ങുന്നു. ഏതാണ്ട് ഒരു മൂന്നോ നാലോ മാസം കഴിയുമ്പോഴേക്കും അസ്ഥികള് ഇംപ്ലാന്റിനു മേലേക്ക് വളര്ന്നു പിടിച്ചിട്ടുണ്ടാവും.
ഇങ്ങനെ മൂന്നോ നാലോ മാസങ്ങള് കഴിഞ്ഞു വീണ്ടും ഒരു X-ray എടുത്തു പുരോഗതി വിലയിരുത്തുന്നു. അടുത്ത സ്റ്റേജില് വീണ്ടും ചെറുതായി മരിവിപ്പിച്ചതിനു ശേഷം ഇംപ്ലാന്റിനു മുകള്ഭാഗത്ത് വളര്ന്നു വന്ന മോണ തുറക്കുന്നു. സ്വാഭാവിക ദന്തനിരയില് ഉള്ളത് പോലെ തന്നെ മോണയുടെ ആകൃതി ശരിയാക്കി എടുക്കുകയാണ് ഇനി ആവശ്യം. കൃത്രിമ പല്ലുകള്ക്ക് കാഴ്ചയില് സ്വാഭാവികമായ പല്ലുകളുടെ അതെ ഭംഗി കിട്ടാനും മോണയുടെ ആരോഗ്യം നിലനിര്ത്താനും ഈ ആകൃതി വളരെ പ്രധാനമാണ്. ഇതിനായി ജിന്ജിവല് ഫോര്മര് എന്ന ഒരു ഭാഗം ഇംപ്ലാന്റിനു മുകളില് പിടിപ്പിച്ചു മോണ ഇതിനു ചുറ്റും സ്വാഭാവികമായി വളര്ന്നു വരാന് ഉള്ള സമയം കൊടുക്കുന്നു.
അടുത്ത ഘട്ടത്തില് ചെയാനുള്ളത് ഈ ഇംപ്ലാന്റിനു മുകളില് കൃത്രിമ പല്ല് നിര്മ്മിക്കുക എന്നതാണ്. ഇതിനായി ആവശ്യമായ അളവുകള് എടുക്കുന്നു. തൊട്ടടുത്ത പല്ലുകളുടെയും എതിര്വശത്തെ പല്ലുകളുടെയും അളവുകളും ഫോട്ടോകളും എല്ലാം ഇതിനാവശ്യമായി വരാറുണ്ട്. പല്ലിന്റെ സ്വാഭാവിക നിറവും ചവക്കുമ്പോള് എതിര്വശത്തെ പല്ലുമായുള്ള കടിയും കൃത്യമായി കിട്ടാന് വേണ്ടിയാണിത്. മേല്പറഞ്ഞ അളവുകള് ഉപയോഗിച്ച് വിദഗ്ദ്ധരായ ഡെന്റല് ടെക്നീഷന് മാരുടെയും ആധുനിക സാങ്കേതിക വിദ്യകളുടെയും സഹായത്തോടെ കൃത്യമായ നിറത്തിലും ആകൃതിയിലും ഉള്ള കൃത്രിമ ദന്തങ്ങള് നിര്മ്മിക്കുന്നു. ഇതു സാഹചര്യത്തിനനുസരിച്ച് നേരിട്ട് ഇംപ്ലാന്റിനു മുകളില് ഒരു സ്ക്രൂ ഉപയോഗിച്ച് പിടിപ്പിക്കുകയോ അല്ലെങ്കില് അബട്ട്മെന്റ് എന്ന ഒരു ഭാഗം സ്ക്രൂ ചെയ്തു പിടിപ്പിച്ചതിനു ശേഷം അതിനു മുകളില് കൃത്രിമപല്ല് പ്രത്യേക പശ ഉപയോഗിച്ച് ഒട്ടിക്കുകയോ ചെയ്യാം.
വ്യത്യസ്ത തരം ഇംപ്ലാന്റുകള് നിലവിലുണ്ട്. അവയുടെ ചികിത്സാ രീതികളിലും ചില വ്യത്യാസങ്ങള് ഉണ്ട്. അതിലൊന്നു മാത്രമാണ് മുകളില് വിവരിച്ചിരിക്കുന്നത്. ഇനി ഇംപ്ലാന്റ് ചികിത്സയുടെ ഗുണങ്ങള് പരിശോധിക്കാം. ഇംപ്ലാന്റ് ചികിത്സ പ്രചാരത്തില് വരുന്നതിനു മുന്പ് പല്ലുകള് ഉറപ്പിച്ചു വെക്കാന് ഏതാണ്ട് പൂര്ണമായും ആശ്രയിച്ചിരുന്നത് തുടക്കത്തില് സൂചിപ്പിച്ച ബ്രിഡ്ജ് എന്ന രീതിയാണ്. അതുകൊണ്ട് തന്നെ ഏതാണ്ട് എല്ലായ്പ്പോഴും ബ്രിഡ്ജുമായി താരതമ്യപ്പെടുത്തിക്കൊണ്ടാണ് ഇംപ്ലാന്റിനെപ്പറ്റി ചര്ച്ച ചെയ്യാറ്. ബ്രിഡ്ജിനെ അപേക്ഷിച്ച് നിരവധി ഗുണങ്ങള് ഇംപ്ലാന്റിന് അവകാശപ്പെടാമെങ്കിലും ഏറ്റവും പ്രധാനപ്പെട്ട ഒന്ന് രണ്ട് കാര്യങ്ങള് മാത്രമേ ഈ ലേഖനത്തില് ചര്ച്ച ചെയ്യാനുദ്ദേശിക്കുന്നുള്ളൂ.
ബ്രിഡ്ജ് എന്ന രീതിയില് നഷ്ടപ്പെട്ട പല്ലിന്റെ മോണക്ക് പുറത്തുണ്ടായിരുന്ന ഭാഗം മാത്രമേ പുനസ്ഥാപിക്കുന്നുള്ളൂ. ഇംപ്ലാന്റിലാവട്ടെ മോണക്ക് അകത്തുണ്ടായിരുന്ന വേരിനെ കൂടി പുനസ്ഥാപിക്കുന്നു.ഇതു പ്രായോഗികമായി എന്ത് വിത്യാസമാണ് ഉണ്ടാക്കുക എന്ന ചോദ്യം സ്വാഭാവികമായും ഉയര്ന്നു വരാം. ഒരു ഉദാഹരണം പറഞ്ഞാല് കുറച്ചു കൂടി വ്യക്തമായേക്കും. ഒരു കുന്നിന് മുകളില് കുറെ മരങ്ങള് ഉണ്ടെന്നു കരുതുക. മരങ്ങളുടെ വേരിനെ പിടിച്ചു നിര്ത്തുന്നത് മണ്ണാണ്. മണ്ണിനെ പിടിച്ചു നിര്ത്തുന്നത് മരങ്ങളുടെ വേരുകളും. മരങ്ങള് ഇല്ലാതാവുമ്പോള് മണ്ണൊലിപ്പ് ഉണ്ടാകുന്നു. ഒരു തവണ മണ്ണൊലിപ്പ് ഉണ്ടായിക്കഴിഞ്ഞാല് പിന്നീട് അവിടെ മരങ്ങള് വെച്ച് പിടിപ്പിക്കുന്നത് കൂടുതല് ബുദ്ധിമുട്ടാകുന്നു. കുന്നിന്റെ ഏതെങ്കിലും ഒരു ഭാഗത്തെ മരങ്ങള് വെട്ടി മാറ്റിയാല് ആ ഭാഗത്ത് ഉണ്ടാകാവുന്ന മണ്ണൊലിപ്പ് തൊട്ടടുത്ത ഭാഗത്തെ മരങ്ങളുടെ വേരിനെ ദുര്ബലമാക്കാന് ഇടയുണ്ടെന്നും നമുക്കറിയാമല്ലോ.
ഈ മരങ്ങളെ പല്ലുകളുമായും മണ്ണിനെ താടിയെല്ലുമായും താരതമ്യപ്പെടുത്താം. പല്ലുകള് നഷ്ടപ്പെട്ടു കഴിഞ്ഞാല് പല്ല് നിന്നിരുന്ന താടിയെല്ലിന്റെ ഭാഗങ്ങള് സാവധാനം ക്ഷയിക്കുന്നു. ഇതു തൊട്ടടുത്തുള്ള പല്ലുകളെക്കൂടി ദുര്ബലമാക്കുന്നു. താടിയെല്ലില് ഉണ്ടാകുന്ന തേയ്മാനം വര്ദ്ധിക്കുന്നതനുസരിച്ച് അവിടെ കൃത്രിമ പല്ലുകള് വെച്ചു പിടിപ്പിക്കുന്നത് കൂടുതല് ബുദ്ധിമുട്ടാകുന്നു. ഇംപ്ലാന്റ് ചികിത്സയില് മുന്പ് സൂചിപ്പിച്ച പോലെ എല്ലിനുള്ളില് കൃത്രിമ വേര് വെക്കുമ്പോള് ഈ അസ്ഥിക്ഷയം ഒരു പരിധി വരെ തടയാന് സാധിക്കുന്നു. പക്ഷേ ബ്രിഡ്ജ് രീതിയിലാവട്ടെ, മോണക്ക് മുകളിലുള്ള ഭാഗം മാത്രം പുനസ്ഥാപിക്കപ്പെടുന്നുള്ളൂ എന്നതിനാല് താഴെ സ്വാഭാവികമായ രീതിയില് തന്നെ അസ്ഥിക്ഷയം സംഭവിച്ചു കൊണ്ടിരിക്കും.
ബ്രിഡ്ജിനെ അപേക്ഷിച്ച് ഇംപ്ലാന്റിനുള്ള മറ്റൊരു സുപ്രധാന ഗുണം ഇതു തൊട്ടടുത്ത പല്ലുകളെ സ്വാഭാവിക അവസ്ഥയില് തന്നെ നിലനിര്ത്തിക്കൊണ്ടുള്ള ചികിത്സയാണ് എന്നതാണ്.അതേ സമയം ബ്രിഡ്ജ് രീതിയില് തൊട്ടടുത്തുള്ള പല്ലുകള് ക്രൌണ് ചെയ്യേണ്ടത് ( ടോപ് ചെയ്യുക/കവര് ചെയുക എന്നൊക്കെ സാധാരണ ഭാഷയില് )ആവശ്യമാണ്. ഇതിന്റെ ഭാഗമായി പല്ലിന്റെ കുറച്ചു സ്വാഭാവിക ഭാഗങ്ങള് രാകി കളയേണ്ടി വരും. ഇങ്ങനെ രാകിക്കളയുന്ന ഭാഗങ്ങള് ചികിത്സയുടെ അടുത്ത ഘട്ടത്തില് കൃത്രിമ വസ്തുക്കളാല് പുനസ്ഥാപിക്കപ്പെടുന്നുണ്ട് എങ്കില് പോലും അവ സ്വാഭാവിക രീതിയില് സംരക്ഷിക്കപ്പെടുന്ന ഇംപ്ലാന്റ് ചികിത്സയാണ് കൂടുതല് മികച്ചതായി കണക്കാക്കപ്പെടുന്നത്.
ഇനി ഇംപ്ലാന്റ് ചികിത്സയുടെ ദോഷ വശങ്ങൾ
താരതമ്യേന ഉയര്ന്ന ചിലവും കൂടുതല് ശ്രദ്ധയും വൈദഗ്ദ്ധ്യവും ആവശ്യമാണ് എന്നതും ശസ്ത്രക്രിയാ രീതികളോടുള്ള ഭയവും കാരണമാവാം ഇപ്പോഴും നമ്മുടെ നാട്ടില് ഇംപ്ലാന്റ് ചികിത്സക്ക് അല്പം പ്രചാരം കുറവാണ്. എങ്കിലും അടുത്ത കാലത്ത് കൂടുതല് ആളുകള് ഇംപ്ലാന്റ് ചികിത്സക്ക് തയ്യാറാവുന്നുണ്ട്.
ഇംപ്ലാന്റ് ചികിത്സ എന്നത് വളരെ വിശദമായി ചര്ച്ച ചെയ്യേണ്ട ഒരു വിഷയമാണെങ്കിലും വിസ്താരഭയം കൊണ്ടും അത്തരം ചര്ച്ചകള്ക്ക് ദന്ത വൈദ്യത്തിലെ മറ്റു പല ചികിത്സാ രീതികളെയും പറ്റിയുള്ള അറിവ് ആവശ്യമായി വരുന്നു എന്നതുകൊണ്ടുമാണ് ഈ ലേഖനം അടിസ്ഥാന വിഷയങ്ങളിലേക്ക് ഒതുക്കുന്നത്.
കടപ്പാട്:ഡോ. അശോക് രാജ് വി.എം(ഇന്ഫോക്ലിനിക്)
Adjust Story Font
16

